13 años de CONtexto ganadero: la voz que marca la agenda rural de Colombia
PorCONtexto ganadero-11 de Noviembre 2025

Cargando...
Por CONtexto ganadero - 15 de Enero 2024
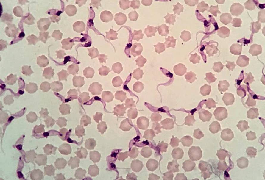
Esta enfermedad es cada vez más frecuente en casi todas las regiones de nuestro país por el incremento de insectos como tábanos y moscas. Aprenda algunas claves sobre cómo prevenir la aparición de la tripanosomiasis en su finca y evitar que su ganado se contagie y llegue incluso a morir.
Como lo señaló el Instituto Colombiano Agropecuario (ICA) en su informe de sanidad animal en 2012, la tripanosomiasis o tripanosomosis es una de las enfermedades de ganado bovino que más reportes tuvo en Colombia pero no está sujeta a programas de control oficial.
Es una enfermedad infecciosa provocada por un parásito que afecta a los bovinos. No es transmisible a las personas, aunque sí son susceptibles los caprinos, ovinos, búfalos y equinos. (Lea: La tripanosomiasis puede matar reses de cualquier edad)
Como señaló el Servicio Nacional de Sanidad y Calidad Agroalimentaria (Senasa), los animales afectados generalmente padecen signos compatibles con la tristeza bovina, baja productividad, pérdida de peso, abortos y, en algunos casos, puede ocasionar la muerte.
La transmisión de tripanosomiasis entre animales se da por medio de insectos hematófagos (aquellos que se alimentan de sangre) como moscas y tábanos. Estos actúan como vectores mecánicos, por lo que su control resulta crítico para prevenir la enfermedad.
«La aparición de esta enfermedad podría estar asociada a la concentración de animales y a fenómenos climáticos que favorecen el aumento de la población de vectores, como las altas temperaturas y las lluvias excesivas», añadieron.
En consecuencia, el Senasa recomendó a los productores bovinos:
· Controlar la presencia de vectores hematófagos en animales en pie y en el ambiente, tales como las moscas y tábanos. Esto se puede logar mediante la eliminación de los sitios donde se reproducen o se pueden usar métodos de control físico como trampas.
· Procura mantener los pastizales y áreas de pastoreo limpios y bien cuidados. La reducción de la vegetación densa y el mantenimiento adecuado de los terrenos pueden disminuir la presencia de moscas. También es importante la higiene en las instalaciones.
· Al ingresar nuevos animales al predio, asegúrese de que provengan de fincas sanas, sin antecedentes sanitarios. De igual modo, hay que identificar a los animales infectados lo antes posible para evitar la propagación de la enfermedad.
· Si debe mover animales hacia áreas endémicas de tripanosomiasis, especialmente si provienen de zonas libres de la enfermedad, se deben tomar precauciones para minimizar el riesgo de infección, como la cuarentena y la realización de pruebas de diagnóstico.
· En animales con signos clínicos compatibles o ante casos positivos por exámenes de laboratorio, hacer el tratamiento con medicamentos específicos, por lo que es importante trabajar con un veterinario para establecer un programa de control adecuado.
· Notificar a la autoridad sanitaria ante la sospecha o confirmación de algún caso.
· Ante la presencia de cuadros de decaimiento y anemia, consultar al veterinario para que lleve adelante el diagnóstico correspondiente o ante cualquier inquietud.
También puede hacer exámenes regulares de detección de tripanosomiasis en el ganado, como pruebas de sangre u otros métodos de diagnóstico recomendados por un veterinario. Recuerde que es importante trabajar en estrecha colaboración con el profesional y seguir las recomendaciones y directrices específicas de él y las autoridades sanitarias.
Noticias Relacionadas
PorCONtexto ganadero-11 de Noviembre 2025
PorMelanny Orozco-11 de Noviembre 2025
PorCONtexto ganadero-10 de Noviembre 2025
PorAngie Barbosa-08 de Noviembre 2025
PorNeife Castro-07 de Noviembre 2025
PorCONtexto ganadero-06 de Noviembre 2025
PorCONtexto ganadero-06 de Noviembre 2025
PorCONtexto ganadero-06 de Noviembre 2025
PorCONtexto ganadero-06 de Noviembre 2025
PorCONtexto ganadero-04 de Noviembre 2025
PorAngie Barbosa-04 de Noviembre 2025
PorMelanny Orozco-04 de Noviembre 2025