El 15 de enero vence el plazo de registro obligatorio para ganaderos en Sinigan V6
PorCONtexto ganadero-31 de Diciembre 2025

Cargando...
Por - 13 de Julio 2021
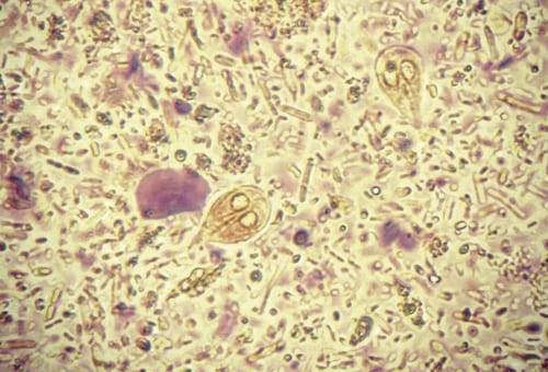
De acuerdo con el libro “Epidemiología de enfermedades parasitarias en animales domésticos”, el primer caso de giardiasis (o giardiosis) en ganado fue reportado en 1921. Cerca de 90 años después, un estudio determinó la prevalencia del parásito que la produce en la sabana de Bogotá.
De acuerdo con el libro “Epidemiología de enfermedades parasitarias en animales domésticos”, el primer caso de giardiasis (o giardiosis) en ganado fue reportado en 1921. Cerca de 90 años después, un estudio determinó la prevalencia del parásito que la produce en la sabana de Bogotá.
El texto explica que los organismos del género Giardia se caracterizan por ser parásitos de vertebrados, incluyendo a los humanos. Después de un período prepatente de 8 días, los animales infectados pueden excretar quistes durante un máximo 112 días.
“Este género ha sido reconocido como un importante enteropatógeno que causa mala absorción en varias especies de animales domésticos”, describió la publicación. (Lea: El listado de enfermedades parasitarias más comunes en varias especies)
La giardiasis es una enfermedad parasitaria producida por un protozoario llamado Giardia intestinalis, que afecta principalmente a animales en edades tempranas, alterando el funcionamiento del intestino delgado, donde produce mala absorción de los nutrientes.
Esto hace que no puedan tener una adecuada conversión alimenticia y que puedan estar propensos a infecciones bacterianas secundarias, con la gravedad de que puede conducir a la muerte. (Lea: Preste atención a la microbiología patógena en el agua del ganado)
Se transmite por medio de quistes en las heces. Los animales enfermos y los portadores asintomáticos, que también son eliminadores de quistes, son la fuente de infección más importante, ya que contaminan el entorno, alimentos y el recurso hídrico.
A su vez, las moscas pueden actuar como vectores del protozoario, específicamente se han recuperado quistes del genéro Muscidae spp., que proliferan en los estercoleros. Los animales adultos también pueden ser una fuente de infección para los más jóvenes, sin presentar signos.
En 2010, los investigadores Hernández Gallo y Cortés Vecino, este último de la Facultad de Medicina Veterinaria y de Zootecnia de la Universidad Nacional de Colombia, señalaron en un estudio que es una enfermedad asociada a personas de bajos recursos y a los perros.
A comienzos del siglo XXI, en el año 2001, se comenzaron a ver estudios y reportes sobre este protozoario en las fincas dedicadas a la producción pecuaria, añadieron. (Lea: Las causas que pueden provocar diferentes tipos de helmintiasis en bovinos)
El estudio evaluó la prevalencia de Cryptosporidium spp. y Giardia spp. en terneros de 0 a 2 meses de ganado lechero de la zona noroccidental de la Sabana de Bogotá, buscando establecer también posibles factores de riesgo y fallas en el manejo de las fincas.
De una muestra de 33 predios dedicados a la producción lechera y un total de 308 terneros, se encontró que la prevalencia con Giardia spp. fue de 37,3 %, 115 animales positivos que presentaron diarrea en el momento de la toma de la muestra.
Un 22,6 % tuvieron una carga alta de quistes de Giardia spp., de los cuales la totalidad presentó diarrea, lo que pudo ser una manifestación clínica de la infección. El 43,5 % de los animales positivos tuvieron una carga baja de quistes, y se observaron asintomáticos.
Asimismo, los autores encontraron que el cumplimiento de las Buenas Prácticas Ganaderas (BPG) disminuye los factores de riesgo en la transmisión de este parásito tanto en los demás animales de producción como en el personal que trabaja y vive en las fincas.
A su juicio, “es imperativa la inocuidad de estos productos y la buena condición sanitaria de los animales que los producen”. En consecuencia, ofrecieron algunos factores de protección que son apropiados para el manejo según los resultados arrojados por el estudio:
Noticias Relacionadas
PorCONtexto ganadero-31 de Diciembre 2025
PorCONtexto ganadero-29 de Diciembre 2025
PorAngie Barbosa-29 de Diciembre 2025
PorAngie Barbosa-28 de Diciembre 2025
PorAngie Barbosa-25 de Diciembre 2025
PorAngie Barbosa-25 de Diciembre 2025
PorLuis Humberto Caballero-24 de Diciembre 2025
PorMelanny Orozco-23 de Diciembre 2025
PorAngie Barbosa-23 de Diciembre 2025
PorMelanny Orozco-22 de Diciembre 2025
PorCONtexto ganadero-22 de Diciembre 2025
PorAngie Barbosa-20 de Diciembre 2025