Con mirada al futuro, Lucía Ayala asume la presidencia de Vecol y el compromiso con la innovación ganadera
PorAutor invitado-18 de Septiembre 2025

Cargando...
Por - 28 de Febrero 2023
Cuando se acaba el verano y llegan las lluvias, los productores se sienten aliviados porque ya hay comida para sus animales. Generalmente, se incrementa el crecimiento de los pastos, pero con ellos también llegan los problemas.
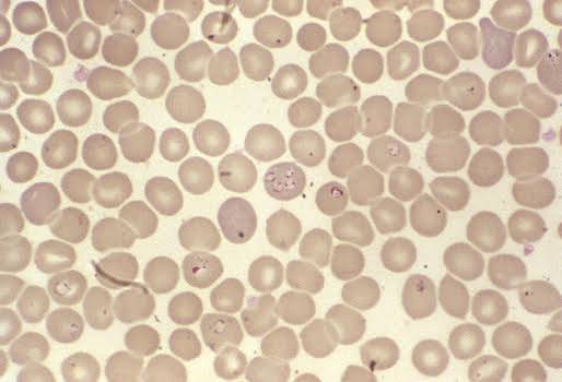
Cuando se acaba el verano y llegan las lluvias, los productores se sienten aliviados porque ya hay comida para sus animales. Generalmente, se incrementa el crecimiento de los pastos, pero con ellos también llegan los problemas.
Con la aparición de las precipitaciones se genera la proliferación de diferentes microorganismos que producen enfermedades infecciosas hemoparasitarías que afectan la salud del animal. Estos males, no solo causan molestia en el bovino, sino que también preocupan al ganadero por las implicaciones que tienen. Lea: (Enfermedades infecciosas de los bovinos que se pueden incrementar por la ola invernal)
El paso de la sequía al invierno es un generador de padecimientos “como la babesiosis, en la que hay emisión de orina mezclada con hemoglobina que ocasiona pérdida en la producción, inclusive donde puede el animal competir con la vida si no se hace un tratamiento y diagnóstico efectivo”, afirma Ernesto González, médico veterinario.
La anaplasmosis, es otra de los transtornos parasitarios que afectan las células rojas de la sangre del animal. De esta manera, se desarrolla en el ganado una especie de anemia que los debilita y les quita el apetito.
Según González, “estas dos enfermedades pueden confundirse por su sintomatología, por lo que se debe hacer control de vectores (aspectos en común), pues los bovinos en sus glándulas salivales albergan el hemoparasito y al entrar en sangre, produce unas fuertes crisis que llevan a la muerte del animal si no se trata a tiempo”.
Se suele pensar que estas aparecen con la transición del verano al invierno. Sin embargo, se vuelven muy comunes en clima frio, pues generalmente se presentan por la picadura de los moscos o plagas. En el caso de la babesiosis, la transmisión se presenta por medio de la garrapata mientras que la anaplasmosis es por los mosquitos. Lea: (Reconozca los síntomas de las babesias)
En las temperaturas cálidas, “lo ideal es que el animal durante su etapa de crecimiento haya adquirido una inmunidad frente a las garrapatas. Sin embargo, tratar de mantenerlos libre de estas plagas puede ser perjudicial porque se incrementa su carga al momento de enfrentarse a las pasturas”, asevera González.
Cuando las enfermedades ya están establecidas, es importante hacer un control de garrapatas con productos como la ivermectina que tienen distintos tiempos de acción dependiendo de los laboratorios que los produzcan.
Los expertos recomiendan que al momento de realizar traslados de los animales a zonas libre de estas, “se deben manejar medidas preventivas y aplicar propionato de imidocarb, que al suministrarlo puede producir picazón, pero protegerá al bovino mientras se adecúa a la zona”, expresa González. Lea: (Parásito enemigo de las vacas también atacaría a las ovejas)
Finalmente, en palabras de González, “es muy importante el diagnostico a través de muestras de sangre de zonas periféricas del animal, más exactamente en la oreja o en la cola para hacer un cuadro hemático con exámenes de hemoparásitos y poder mirar cuál de las dos enfermedades, ya sea babesiosis o anaplasmosis, es la que está ocasionando el problema en el animal”
Noticias Relacionadas
PorAutor invitado-18 de Septiembre 2025
PorCONtexto ganadero-17 de Septiembre 2025
PorMelanny Orozco-16 de Septiembre 2025
PorMelanny Orozco-09 de Septiembre 2025
PorAngie Barbosa-08 de Septiembre 2025
PorMelanny Orozco-07 de Septiembre 2025
PorMelanny Orozco-06 de Septiembre 2025
PorCONtexto ganadero-06 de Septiembre 2025
PorAngie Barbosa-05 de Septiembre 2025
PorMelanny Orozco-04 de Septiembre 2025
PorAngie Barbosa-04 de Septiembre 2025
PorCONtexto ganadero-03 de Septiembre 2025