Con mirada al futuro, Lucía Ayala asume la presidencia de Vecol y el compromiso con la innovación ganadera
PorAutor invitado-18 de Septiembre 2025

Cargando...
Por CONtexto ganadero - 23 de Enero 2024
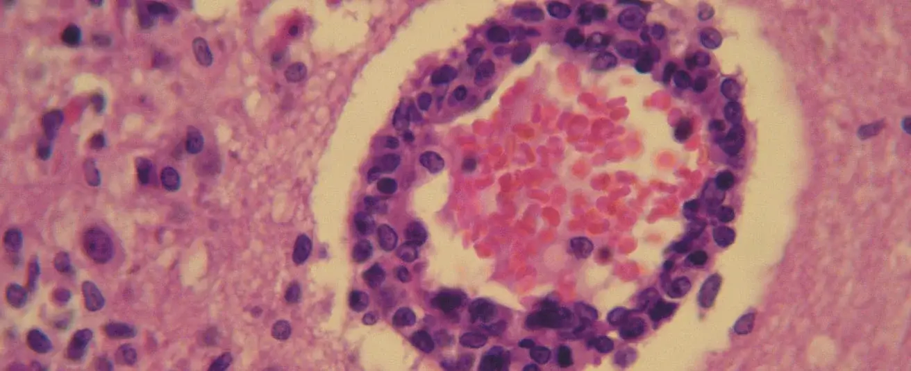
Los herpesvirus bovino 1 y 5 afectan naturalmente a los bovinos provocando manifestaciones clínicas que generan consecuencias económicas al productor. Ambos virus pueden tener impactos en la salud y reproducción del ganado. Conozca más detalles.
Los herpesvirus (HVB) son virus envueltos, que presentan en un genoma una doble cadena de ADN lineal, rodeado por una cápside ecosaédrica, recubierta por una envoltura lopoproteica como lo menciona Rodrigo Eduardo Puentes Palombo en una investigación.
La distribución de la infección es mundial y la prevalencia de reactores serológicos indica que prácticamente todos los bovinos mayores de tres años han tenido contacto con este virus.
Hay que tener claro que antiguamente estos HVB eran divididos entiendo en cuenta los criterios clínicos y serológicos. Sin embargo, al utilizar técnicas moleculares, se han detectado diferencias significativas en los perfiles genómicos de las cepas de HVB, siendo el HVB-5 una de estas.
En una investigación realizada por la Universidad Nacional de La Plata se explica que el herpesvirus bovino 1 provoca un amplio espectro de manifestaciones como la rinotraqueítis, vulvovaginitis pustular infecciosa, balanopotitis, conjuntivitis, aborto, enteritis y encefalitis. (Lea en CONtexto ganadero: Conozca cuáles son los tipos de herpesvirus bovino)
En cuanto a la transmisión de la enfermedad, la infección natural por HVB 1 ocurre a través de la transmisión directa por aerosoles o por contacto entre animales infectados. Las puertas de entrada potenciales para el virus son la cavidad nasal, ojos y tracto genital, tal como expone Puentes Palombo.
“Durante la infección primaria, cuando el virus se está replicando intensamente, una cantidad importante de partículas virales están presentes en exudados nasales y los animales infectados son altamente contagiosos”, detalla Puentes Palombo.
Además, existe una transmisión directa que se da por contaminación del agua, alimentos o por inseminación artificial.
Para el diagnóstico de estos virus se deben tener en cuenta algunas acciones citadas en el estudio de la Universidad Nacional de La Plata:
Según la institución mencionada anteriormente, una “de las principales diferencias para el control de esta enfermedad es que los animales infectados transportan al virus de por vida, ya que el HVB permanece integrado por un periodo indefinido en células preferenciales”.
Por lo tanto, la primera decisión que debe tomar el productor es controlar la enfermedad clínica o eliminar la infección, debido a que la vacunación protege contra la primera, pero no contra la segunda.
En ese orden de ideas, entre las medidas de control están:
Finalmente, las medidas de control deben centrarse en la prevención de la entrada del virus en las fincas y la aplicación de buenas prácticas de manejo. (Lea en CONtexto ganadero: Herpes virus bovino 5 está en los Llanos, médicos estudian el mal)
Noticias Relacionadas
PorAutor invitado-18 de Septiembre 2025
PorCONtexto ganadero-17 de Septiembre 2025
PorMelanny Orozco-16 de Septiembre 2025
PorMelanny Orozco-09 de Septiembre 2025
PorAngie Barbosa-08 de Septiembre 2025
PorMelanny Orozco-07 de Septiembre 2025
PorMelanny Orozco-06 de Septiembre 2025
PorCONtexto ganadero-06 de Septiembre 2025
PorAngie Barbosa-05 de Septiembre 2025
PorMelanny Orozco-04 de Septiembre 2025
PorAngie Barbosa-04 de Septiembre 2025
PorCONtexto ganadero-03 de Septiembre 2025