Con mirada al futuro, Lucía Ayala asume la presidencia de Vecol y el compromiso con la innovación ganadera
PorAutor invitado-18 de Septiembre 2025

Cargando...
Por - 27 de Mayo 2019
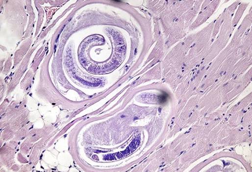
Esta infección, que se presenta en los porcinos y no es frecuente en los bovinos, se constituye en una barrera sanitaria para la exportación.
Esta infección, que se presenta en los porcinos y no es frecuente en los bovinos, se constituye en una barrera sanitaria para la exportación.
Jenny Chaparro, médica veterinaria, máster en salud animal, PhD en química y directora científica de la Unidad de Diagnóstico de la Facultad de Ciencias Agrarias de la Universidad de Antioquia, aseguró que los animales son los únicos que presentan la infección de triquinella, pero que puede ser trasmitida a los humanos en donde se conoce como triquinosis.
La triquinella no presenta patologías y se puede ver no solo en los cerdos, sino en casi todos los mamíferos, no muy frecuente en bovinos y se presenta en algunas especies de aves. Es de mayor frecuencia en animales silvestres, especialmente los salvajes.
Chaparro aseveró que los brotes en humanos son causados con mayor frecuencia por consumo de alimento animal provenientes de jabalís o equinos. (Lea: Parásitos del ganado: ¿hasta cuándo?)
Ciclos de la triquinella
Existen dos ciclos de la triquinella. Uno, que incluye animales domésticos y al hombre quién también puede ser infectado; y el ciclo silvestre o selvático, que es más común a nivel mundial e incluye a todos los animales silvestres.
“Los carnívoros son los que suelen infectarse con mayor frecuencia. En el caso de los cerdos que son ovnívoros, pueden verse infectados de manera accidental; es más frecuente en animales de transpatio o en cerdos que no están en sistemas de producción tecnificada, donde los niveles de bioseguridad no son altos, lo que sería el factor de riesgo”, enfatizó Chaparro.
Los humanos suelen infectarse cuando consumen carne que no está bien cocida, porque la cocción elimina la triquinella o en algunas ocasiones la congelación elimina algunas de las especies el virus.
En humanos el cuadro clínico es conocido como triquinosis. La mortalidad es baja, es del 1 % y depende de triquinellas que haya consumido el humano “generalmente se necesita que se consuman más de 100 larvas de triquinella para que exista realmente un cuadro clínico evidente en el humano”, comentó. (Lea: Utilizan partículas magnéticas para el diagnóstico de parásitos)
Finalmente, Chaparro señaló que los síntomas en los humanos son similares a una enfermedad transmitida por alimentos. Puede haber vómito, diarrea, fiebre, inflamación de la cara y edema alrededor de los parpados. “La mortalidad es cuando hay complicaciones y cuando el parásito genera una respuesta inmune que pueda afectar cerebro o corazón”.
En Colombia, la infección por Triquinella no ha sido reportada en animales y tampoco en humanos. Se recomienda mantener el control sanitario y manejo adecuado de las especies y consultar profesionales en cualquier alerta presentada en los hatos.
Noticias Relacionadas
PorAutor invitado-18 de Septiembre 2025
PorCONtexto ganadero-17 de Septiembre 2025
PorMelanny Orozco-16 de Septiembre 2025
PorMelanny Orozco-09 de Septiembre 2025
PorAngie Barbosa-08 de Septiembre 2025
PorMelanny Orozco-07 de Septiembre 2025
PorMelanny Orozco-06 de Septiembre 2025
PorCONtexto ganadero-06 de Septiembre 2025
PorAngie Barbosa-05 de Septiembre 2025
PorMelanny Orozco-04 de Septiembre 2025
PorAngie Barbosa-04 de Septiembre 2025
PorCONtexto ganadero-03 de Septiembre 2025