El 15 de enero vence el plazo de registro obligatorio para ganaderos en Sinigan V6
PorCONtexto ganadero-31 de Diciembre 2025

Cargando...
Por - 01 de Marzo 2023
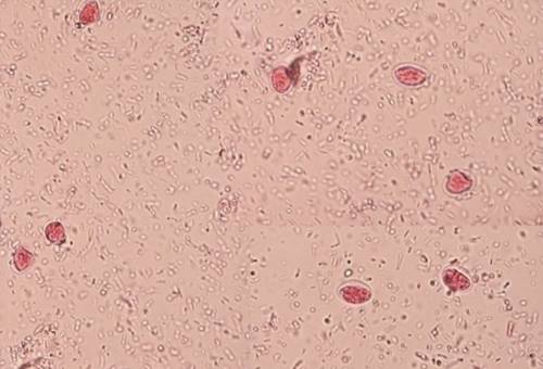
Los parásitos son organismos que afectan con frecuencia a los bovinos, especialmente en sus primeros meses de vida. Conozca por qué es importante cuidarlos y evitar que se presente Cryptosporidiosis y giardiosis.
Los parásitos son organismos que afectan con frecuencia a los bovinos, especialmente en sus primeros meses de vida. Conozca por qué es importante cuidarlos y evitar que se presente Cryptosporidiosis y giardiosis.
El proceso más importante producido por parásitos durante el primer mes de vida de terneros es la cryptosporidiosis, para luego pasar a los brotes de giardiosis durante el segundo mes,explican José Antonio Castro y Marta González.
Estas son enfermedades que son causadas por especies de protozoos pertenecientes a los géneros Cryptosporidium y Guardia, que se desarrollan y multiplican en el intestino del hospedador. (Lea: ¿A qué edad son más susceptibles los terneros de infectarse con Cryptosporidium?)
El primero de estos es uno de los principales agentes etiológicos del síndrome de diarrea neonatal en rumiantes domésticos, ocasionando fuerte deshidratación y retraso en el crecimiento. En ausencia de otros enteropatógenos, la infección por Cryptosporidium produce elevadas tasas de mortalidad, por lo que la morbilidad puede alcanzar el 100%.
Hay que tener claro que la principal fuente de transmisión de la cryptosporidiosis es por las vías fecales y orales. La contaminación con heces de animales parasitarios desempeña un papel importante en la transmisión de esta enfermedad en bovinos.
La giardiosis se transmite por medio de quistes en las heces, por lo que los bovinos enfermos son eliminadores de quistes, que se convierten en la fuente de infección más importante porque contaminan el entorno, alimentos y todo tiempo de herramientas. (Lea: ¿Qué es la giardiasis que afecta a los bovinos y qué se ha dicho sobre ella en Colombia?)
El ciclo biológico de Cryptosporidium se desarrolla en la mucosa intestinal, y tras multiplicaciones asexuales y sexuales, se producen los ooquistes que se dividen en ooquistes de pared gruesa y ooquistes de pared fina.
Por su lado, el ciclo biológico de G. duodenalis incluye dos fases, el trofozoíto y el quiste. Los terneros de infectan por la ingestión de alimentos y agua contaminados con ooquistes de Cryptosporidium o de quistes de G. duodenalis.
Cabe resaltar que la dosis infectante es muy baja y en el caso de la cryptosporidiosis, la infección puede ser mortal para algunos animales en 24-48 horas. Por lo que es frecuente la aparición de un proceso diarreico cuya duración depende de la dosis infectante, la virulencia del aislado causante de la infección y la susceptibilidad del hospedador.
Sin embargo, la resistencia de los ooquistes/quistes a los desinfectantes y la ausencia de un tratamiento totalmente eficaz dificultan la lucha contra este tipo de enfermedades.
Diferentes estudios han mostrado que la cryptosporidiosis y la giardiosis están ampliamente distribuidas en el ganado bovino lechero, pues los que tienen más riesgo de contagiarse son los mayores de un año que presentan prevalencias e intensidades de infección moderadoras. (Lea: Criptosporidiosis en ganado bovino puede transmitirse a los humanos)
Esta es la razón por la que los expertos dicen que la instauración de medidas higiénico – sanitarias puede ayudar a eliminar o al menos a disminuir la presencia de la infección en aquellas zonas en donde es endémica.
Noticias Relacionadas
PorCONtexto ganadero-31 de Diciembre 2025
PorCONtexto ganadero-29 de Diciembre 2025
PorAngie Barbosa-29 de Diciembre 2025
PorAngie Barbosa-28 de Diciembre 2025
PorAngie Barbosa-25 de Diciembre 2025
PorAngie Barbosa-25 de Diciembre 2025
PorLuis Humberto Caballero-24 de Diciembre 2025
PorMelanny Orozco-23 de Diciembre 2025
PorAngie Barbosa-23 de Diciembre 2025
PorMelanny Orozco-22 de Diciembre 2025
PorCONtexto ganadero-22 de Diciembre 2025
PorAngie Barbosa-20 de Diciembre 2025